Tema 1. El gran planeta celular

Parece que el susto ha pasado, ¡mi tío ya está bien!

Hoy, cuando hemos estado en el hospital he vuelto a hablar con el médico y se ha sorprendido del gran interés que he mostrado por todo lo relacionado con la biología. Tanto ha sido, que ha querido enseñarme el lugar donde analizan y estudian células y tejidos: el laboratorio. Me ha explicado la importancia que ha tenido, en el desarrollo de la ciencia, la aparición de instrumentos como el microscopio. Gracias a él ha sido posible el descubrimiento de la célula, el conocimiento de tejidos o de seres unicelulares.

Como mi curiosidad no se saciaba, me ha mostrado un microscopio y enseñado sus partes. He podido practicar con él. Aquí tienes uno, para que tú también aprendas a manejarlo.


Proyecto Biosfera. Autorizado su uso educativo no comercial
Icono IDevice Diálogo

 

- Bea, este microscopio que estás utilizando es un microscopio óptico, presenta dos lentes llamadas ocular y objetivo.

- Para poder observar una muestra con este tipo de microscopio, se necesita que éstas sean muy finas (para cortarlas, como puedes ver en el video se utiliza un aparato llamado microtomo), con el fin de que sean atravesadas por los rayos luminosos, que proceden de la fuente de luz.
Además, se necesita que la muestra que queremos ver se altere lo menos posible, aumente su dureza y se eliminen microorganismos que puedan aparecer sobre ella. Para conseguirlo se usan técnicas de fijación, que consisten en introducir la muestra en líquidos, llamados fijadores (como el formaldehido).

- Entonces, es fácil hacer una preparación para ver al microscopio; por ejemplo, corto un trocito de cebolla muy fino y ya lo puedo poner, ¿no?

- Bueno, es bastante frecuente que muchas de las muestras sean transparentes, por lo que para poder verlas necesitamos teñirlas con colorantes, como azul de metileno o cristal violeta, que muestran afinidad por los materiales celulares. Mira, si quieres saber más sobre microscopios utiliza este microscopio óptico virtual para observar una laminilla de corcho, un tejido vegetal, glóbulos rojos, bacterias.... Aplica tus conocimientos y disfruta.


Icono IDevice Pre-conocimiento

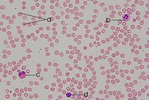
Hoy día se encuentran distintos tipos de microscopios que nos ofrecen imágenes como las que abajo aparecen. La imagen 1, muestra un preparado de células sanguíneas vistas al microscopio óptico. Observa la diferencia cuando se miran muestras con otros tipos de microscopios:


 
Imagen 1. Autor: Reytan. Licencia Creative Commons   Imagen 2. Autor: Desconocido. Reproducción autorizada únicamente con fines educativos citando su origen
Imagen 3. Autor: E rulez. Dominio público

El microscopio electrónico (ME), en lugar de luz visible, usa un haz de electrones como fuente de iluminación; estos al chocar con la muestra se dispersan e impactan contra una película de fotografía que queda impresionada. Lo que se observa al microscopio electrónico no es una muestra, sino una fotografía que se saca de esa muestra, como puedes observar en la imagen 2, realizada con microscopio electrónico de transmisión y la imagen 3, con un microscopio electrónico de barrido.

Icono IDevice Actividad

Es importante conocer, en un microscopio, el número total de aumentos para poder observar una muestra. Lo calculamos multiplicando el número de aumentos del ocular por el número de aumentos del objetivo.

Otro concepto importante es el poder de resolución, que es la capacidad para diferenciar dos imágenes que están cerca. La distancia mínima a la que deben estar dos puntos para que apreciemos que están separados es el límite de resolución y depende de la fuente de iluminación.

El poder de resolución está limitado por la longitud de onda de la fuente de iluminación.


Icono IDevice Objetivos
¿Quieres ver imágenes alucinantes ralizadas con distintos tipos de microscopios? Navega por las páginas que te proponemos. Verás microfotografías de insectos: Citología e Histología Vegetal y Animal e Imágenes a microscopio electrónico.

¿Te gustaría poder ver, aún, a más aumentos? ¡Estás de suerte! En el 2008 se presentó en Canadá el microscopio de electrones más potente que existe, capaz de ver el espacio que queda entre dos átomos. Se llama Titán 80-300 Cubed y según sus creadores tiene una resolución equivalente a la del telescopio espacial Hubble.

Puedes verlo en este enlace.