3.1. Tejidos de revestimiento
Los tejidos de revestimiento o epitelios son tejidos que recubren la superficie corporal externa e interna de un animal, además de los diferentes órganos.
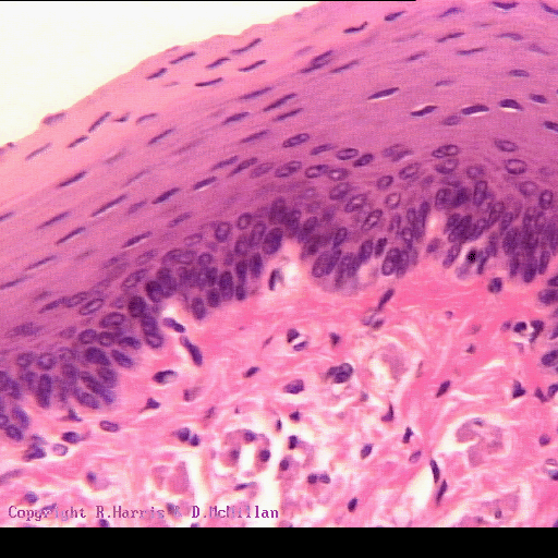
Fíjate en la imagen. La parte superior, más oscura, es un epitelio en el que se observan algunas de las características de este tejido:
| |
| Imagen 18. Fuente Biodidac bajo licencia Creative Commons) |
- Las células están muy próximas entre sí, de tal forma que no dejan huecos entre ellas, ni siquiera para la matriz extracelular.
- Las células forman una o varias capas. Las células más externas son las más antiguas y las células más internas las más jóvenes.
- Están apoyados sobre una estructura membranosa llamada lámina basal, que las une con el tejido conjuntivo interior.
- Las células de los tejidos epidérmicos presentan diferentes formas, que suelen ser regulares y poliédricas. Este hecho ha dado lugar a diferentes tipos de tejidos epidérmicos.
Los epitelios se clasifican en tres grandes grupos:
- Simples: formados por una sola capa de células.
| |
| Imagen 19. Fuente Biodidac bajo licencia Creative Commons. |
- Estratificados: formados por varias capas de células.
| |
| Imagen 20. Fuente Biodidac bajo licencia Creative Commons. |
- Pseudoestratificados: son epitelios que parecen estratificados sin serlo, porque los núcleos celulares aparecen a diferentes alturas.
![]() |
| Imagen 21. Fuente Biodidac bajo licencia Creative Commons. |
| |
| Imagen 22. Fuente Biodidac bajo licencia Creative Commons |
Seguro que identificas al tejido como de tipo epitelial, pero ¿a qué tipo se corresponde?
En principio podría ser un tipo de epitelio simple. Si observamos bien, forma una especie de círculo que aisla en la zona central una parte hueca. Se trata de un epitelio glandular que tiene como función segregar sustancias, bien al exterior del cuerpo, bien a la sangre del animal.
|
Células epiteliales.
| |
|
Células musculares.
| |
|
Células epidérmicas queratinizadas.
|
