3.2. Tejidos conectivos

El cuerpo de todos los animales presenta tejidos de relleno que se originaron durante el desarrollo del embrión. Su función principal es la de unir el resto de tejidos y mantener la estructura corporal protegiendo los diferentes órganos.

Todos los tejidos conectivos están formados por células que se encuentran en el seno de una matriz extracelular segregada por ellas, reforzada por fibras proteícas entrelazadas entre sí. Esta estructura va a condicionar la resistencia y la elasticidad del tejido.

Los tejidos conectivos se clasifican en:

  • Conectivo.
  • Adiposo.
  • Cartilaginoso.
  • Óseo.
  • Sanguíneo.

Las células de estos tejidos presentan formas variadas adaptadas a la función que realizan. Así podemos distinguir:

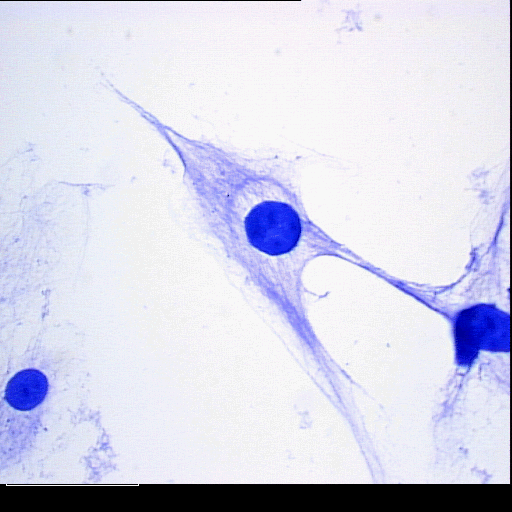
  • Fibroblastos. Son células de forma variable que forman la matriz extracelular. Son las responsables de la formacion y mantenimiento del tejido.

Imagen 23. Fuente Biodidac bajo licencia Creative Commons.
  • Adipocitos. Son células esféricas que almacenan grasa.

Imagen 24. Fuente Biodidac bajo licencia Creative Commons.
  • Células pigmentarias. Son células que almacenan pigmentos.

Imagen 25. Fuente Biodidac bajo licencia Creative commons.
  • Linfocitos, monocitos y células plasmáticas. Son células que se encargan de la defensa contra agentes infecciosos.
celulas plasmáticas
Imagen 26. Fuente Biodidac bajo licencia Creative Commons.
Además del componente celular, existe el componente extracelular en el que distinguimos:
  • Fibras colágenas. Son las más abundantes. Se disponen por todo el tejido. Están formadas por colágeno (proteína dura y resistente a las tensiones). Estas fibras aparecen en gran cantidad en la piel, tendones, ligamentos, etc.
  • Fibras elásticas. Son fibras que forman unas redes al ramificarse y fusionarse. Están formadas por elastina, una proteína elástica.
  • Fibras reticulares. Son fibras protéicas de pequeño tamaño que forman estructuras de sostén.
Imagen 27. Fuente Biodidac bajo licencia Creative Commons. Imagen 28. Fuente Biodidac bajo licencia Creative Commons.
Los tejidos conjuntivos son muy variados. La variedad está relacionada con la composición de la matriz y su dominancia con respecto al contenido celular. Por ello podemos distinguir varios tipos:
  • Tejido conjuntivo laxo. Es un tejido en el que predomina la matriz extracelular sobre el componente celular. Se encuentra distribuido por todo el cuerpo de los animales. La matriz es semilíquida aunque posee consistencia.
Imagen 29. Fuente Biodidac bajo licencia Creative Commons.
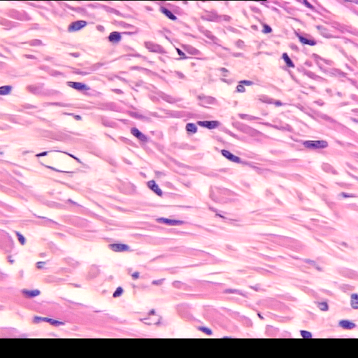
  • Tejido conjuntivo denso. Es un tejido en el que también domina la matriz extracelular, sobre todo las fibras de colágeno que forman haces.

conectivo denso
Imagen 30. Fuente Biodidac bajo licencia Creative Commons.
  • Tejido conjuntivo elástico. Es un tejido en el que las fibras elásticas dominan, ordenándose de forma paralela unas a otras.
Imagen 31. Fuente Biodidac bajo licencia Creative Commons.
  • Tejido adiposo. Es un tejido en el que dominan los adipocitos sobre la materia extracelular. Tiene una función de reserva energética, ya que los adipocitos almacenan la grasa en una enorme vacuola. Sólo aparece en vertebrados e insectos.
adiposo
Imagen 32. Fuente Biodidac bajo licencia Creative Commons.
  • Tejido cartilaginoso. Es un tejido formado por una densa red de fibras colágenas que constituyen una matriz gelatinosa que aporta consistencia y cierta elasticidad al tejido. Sus células se llaman condrocitos y se encuentran aisladas en la matriz sin apenas conexión. Forma el tejido esquelético embrionario de todos los vertebrados y de los peces cartilaginosos. En el resto de vertebrados es sustituido por hueso. Existen tres variedades de tejido cartilaginoso: hialino, fibroso y elástico.

Imagen 33. Fuente Biodidac bajo licencia Creative Commons.
  • Tejido óseo. Es el tejido esquelético de los vertebrados. Está formado por una matriz extracelular impregnada de fosfato cálcico, que proporciona rigidez y firmeza al tejido y algunas fibras colágenas para evitar que sea quebradizo. Los osteocitos son las células formadoras de hueso y se encuentran en el seno de la matriz. Existen una serie de conductos que contienen vasos sanguíneos y nervios.

Imagen 34. Fuente Biodidac bajo licencia Creative Commons.
Icono IDevice Pre-conocimiento
La osteoporosis es una alteración del tejido óseo que aparece en la edad adulta (a partir de los 40 años) Se caracteriza por una disminución de la masa ósea que puede provocar fracturas de huesos espontaneamente. Esta alteraciónafecta más a las mujeres que a los hombres. Una forma de prevenirla es ingerir calcio y vitamina D, en las dosis apropiadas.

Sangre

 

Es un tejido especial. Se le incluye dentro de los tejidos conectivos aunque no es un tejido de relleno o sostén propiamente dicho. Su matriz extracelular es líquida formada por el plasma. En él se encuentran tres tipos de células: globulos rojos, glóbulos blancos y plaquetas que poseen funciones diferentes. Debido a que la matriz es líquida se encuentra contenida en un sistema de conductos (vasos sanguíneos) formados por tejido epidérmico.

El plasma sanguíneo está formado por agua (<90%) y proteínas de diferentes tipos (albuminas, fibrinógeno, anticuerpos, etc.) que acompañan a pigmentos transportadores de oxígeno, nutrientes y productos de desecho.

Las células sanguíneas se caracterizan por:

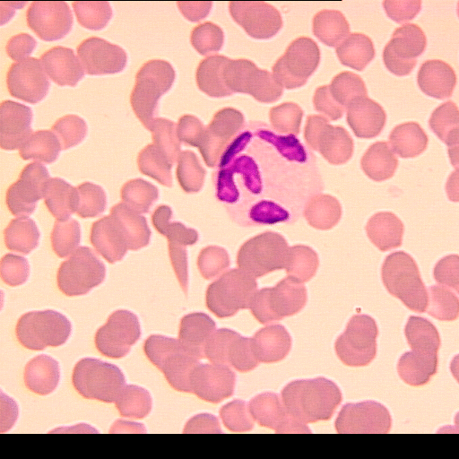
  • Los glóbulos rojos o eritrocitos tienen forma de disco bicóncavo. Apenas presentan orgánulos celulares y se encargan de transportar oxígeno a los tejidos y retirar el dióxido de carbono producido en la respiración celular.
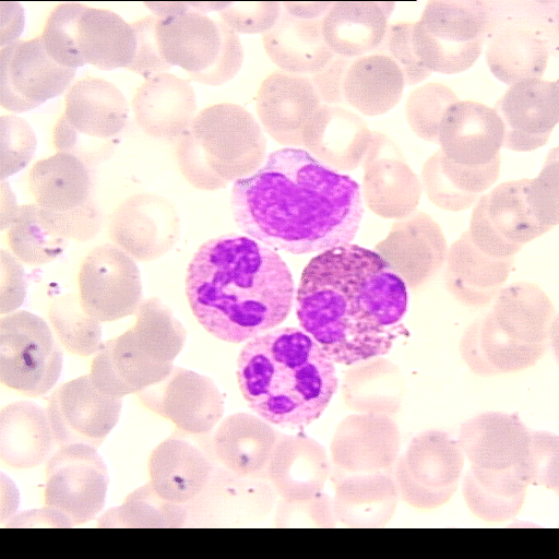
  • Los glóbulos blancos o leucocitos son un grupo de células que se encargan de la defensa del organismo. Tienen forma esférica y su núcleo es muy grande. Se clasifican en dos grupos:
  1. Granulocitos: Son leucocitos que presentan gránulos en sus citoplasma. Son de tres tipos: basófilos eosinófilos y neutrófilos.
  2. Agranulocitos: son leucocitos que no poseen gránulos en su citoplasma. Son de dos tipos: linfocitos y monocitos.
  • Las plaquetas o trombocitos. Son fragmentos celulares que participan en la reparación de los vasos sanguíneos cuando estos se rompen.
hematíes leucocitos
Imagen 35. Fuente Biodidac bajo licencia Creative Commons. Imagen 36. Fuente Biodidac bajo licencia Creative Commons.
Icono de IDevice de pregunta AV - Pregunta de Elección Múltiple
1. ¿Qué células de las siguientes forman parte del tejido conjuntivo laxo?
  
Adipocitos.
Células plasmáticas.
Fibrocitos.
Todas las anteriores.

2. ¿Qué tejido es más abundante en el organismo?
  
Tejido epidérmico.
Tejido cartilaginoso fibroso.
Tejido cartilaginoso elástico.
Tejido cartilaginoso hialino.